Caso Clinico
Riabilitazione del mascellare superiore con approccio implantare combinato: impianti convenzionali e transinusali
Il presente caso clinico documenta la riabilitazione implantare del mascellare superiore mediante l'utilizzo combinato di impianti convenzionali e impianti transinusali, eseguita dal Dr. Luca Palumbo. L'obiettivo del trattamento era il recupero della funzione masticatoria in un paziente affetto da edentulia parziale associata a una riduzione del volume osseo nei settori posteriori.
Riabilitazione del mascellare superiore con approccio implantare combinato: impianti convenzionali e transinusali
Dr. Luca Palumbo
Dentista
Dr. Luca Palumbo

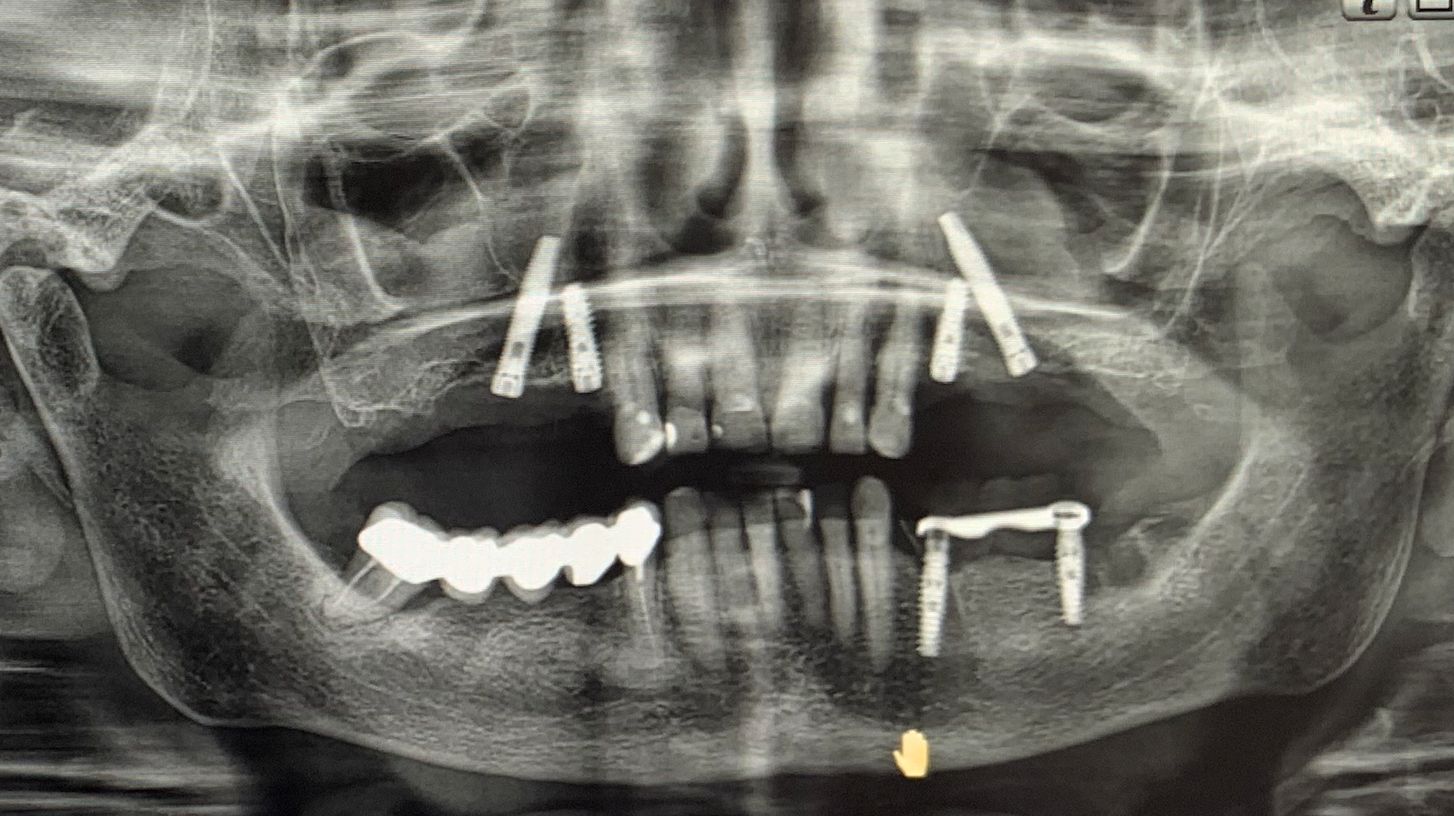
A seguito di un'accurata valutazione clinica e radiografica preparatoria (Fig. 1) è stato pianificato l'inserimento di impianti IS+ (BTK) nelle regioni anteriori e di impianti BT-Rhyno (BTK) nei settori posteriori mediante tecnica transinusale.

 


 

Valutazione clinica e radiografica preoperatoria

Fig. 1 - Valutazione clinica e radiografica preoperatoria

 


 

Tale approccio è stato scelto per evitare procedure di rigenerazione ossea più estese e per contenere i tempi complessivi del trattamento.

L'intervento chirurgico è stato eseguito in anestesia locali. Dopo il sollevamento di un lembo musopeiosteo a tutto spessore per esporre il mascellare, nei settori anteriori si è proceduto con la preparazione dei siti implantari secondo protocollo convenzionale. Gli impianti IS+ sono stati quindi posizionati (Fig. 2), ottenendo una buona stabilità primaria grazie alla presenza di un adeguato volume di osso residuo.

 


 

Fig. 2 - Impianti IS+

Fig. 2 - Impianti IS+

 


 

Nei settori posteriori, caratterizzati da significativa atrofia ossea e da pneumatizzazione del seno mascellare, è stato adottato un approccio transinusale. È stata pertanto realizzata una finestra laterale per consentire il sollevamento della membrana di Schneider (Fig. 3), procedura eseguita con particolare attenzione per preservarne l’integrità. Successivamente i siti implantari sono stati preparati con una traiettoria inclinata che attraversa la cavità sinusale, permettendo l'ancoraggio nell'osso basale anteriore. Sono stati quindi inseriti due impianti BT-Rhyno (Fig. 4), progettati specificatamente per l'inserimento transinusale e in grado di garantire adeguata stabilità anche in presenza di ridotto spessore osseo crestale.

 


 

Fig. 3 - Membrana di Schneider

Fig. 3 - Membrana di Schneider

 

Fig. 4 - Impianti BT-Rhyno

Fig. 4 - Impianti BT-Rhyno

 

Al termine della fase implantare è stata eseguita una rigenerazione ossea localizzata intorno agli impianti posteriori utilizzando osso autologo prelevato mediante bone scraper (Fig. 5). Questo passaggio ha consentito di colmare eventuali spazi peri-implantari, favorendo i processi di osteointegrazione e contribuendo a migliorare la prognosi a lungo termine.

L'intervento è stato completato in un'unica seduta chirurgica, adottando un approccio minimamente invasivo e nel pieno rispetto dei tessuti. Le immagini intraoperatorie illustrano chiaramente le principali fasi del trattamento: il posizionamento degli impianti anteriori IS+, l'inserimento transinusale degli impianti BT-Rhyno e l'applicazione di osso autologo per la rigenerazione finale (Fig. 6).

 


 

Fig. 5 - Osso autologo

Fig. 5 - Osso autologo

 

Fig. 6 - Immagini intraoperatorie

Fig. 6 - Immagini intraoperatorie

 


 

L'impiego di questa strategia combinata ha consentito di ottenere una riabilitazione efficace anche in presenza di condizioni ossee complesse, evitando procedure rigenerative più invasive e permettendo una futura riabilitazione protesica stabile e predicibile.

 

Video correlati
Non ci sono video associati a questo articolo.