Nella restaurativa ricostruttiva, l'estetica e l'apparenza, soprattutto nei settori dentali frontali, sono valori sempre più percepiti solo quando questa è associata ad un approccio mini-invasivo. Laddove l'approccio sia totalmente non invasivo, essa è recepita, invece, in modo consistente. In odontoiatria clinica, si osserva ancora una grande richiesta di procedure di restauro più comuni, quali il posizionamento (e la sostituzione) degli stessi. Essa rappresenta una parte significativa del lavoro dei dentisti, in termini di tempo ad essa dedicato. Le faccette no-prep prep-less, anche se idealmente considerate l'opzione migliore per la massima conservazione della struttura dentale, sono state spesso criticate per alcune potenziali limitazioni tra cui i risultati estetici e le complicazioni parodontali. Dalla loro introduzione, i compositi ibridi hanno guadagnato popolarità come materiali da restauro, innanzitutto per le loro proprietà estetiche ma anche per la possibilità di lavorare a spessori ultra sottili, riducendo, quindi, la rimozione del tessuto sano e mantenendo proprietà compatibili con l'applicazione clinica. Negli ultimi decenni si è verificato anche un continuo sviluppo della tecnologia dei compositi e delle tecniche adesive. Attualmente, la ceramica ibrida è il materiale di prima scelta per il restauro dei denti anteriori e posteriori. Dal momento che esiste una grande varietà di ceramiche dentali e una grande selezione di materiali in resina composita sul mercato, ci si chiede perchè ci sia la necessità di un nuovo materiale. I vantaggi della ceramica sono un'alta resistenza alla flessione e una grande stabilità del colore, mentre gli svantaggi sono un'elevata usura del dente antagonista e la perdita della struttura del dente a causa di uno spessore minimo di 1.5- 2.0 mm. Questi due parametri sono migliori per le resine composite, ma l'usura del materiale stesso è maggiore.
Quindi il modulo di Young dovrebbe avvicinarsi alla dentina, la durezza dovrebbe essere tra la dentina e lo smalto. Un minimo di usura sia del materiale stesso che del dente antagonista sarebbe auspicabile e il requisito più importante, per un nuovo materiale, sarebbe uno spessore minimo molto basso per preservare la struttura sana del dente. Le faccette no-pep prep-less di alta qualità possono essere più impegnative da realizzare rispetto alle faccette convenzionali e il successo loro dipendere da una combinazione di buona selezione del caso, posizione dei margini, principi adesivi validi, esperienza clinica e di laboratorio. La stampa 3D offre alcuni vantaggi in più. Non dipende dalla dimensione dell’utensile e dall’asse di inserzione progettato nel software in quanto la realizzazione dei restauri non dipende da questi parametri. La tecnologia additiva laser, infatti, consente la miglior gestione dei sottosquadri rispetto alle tecniche sottrattive e, di conseguenza, una maggior precisione del manufatto protesico.
La prerogativa della metodica DFAB di DWS è quella di realizzare un restauro con gradiente adattivo di valore e saturazione del colore, rendendo, di fatto, non necessario l'uso della pittura di superficie, tecnica che limita nel tempo l'estetica del restauro, soggetto a fenomeni di usura normalmente presenti nel cavo orale. La paziente, 35 anni, in buono stato di salute psico fisica, si presentava alla nostra osservazione con un disagio estetico dello stato dell’apparenza dei denti frontali. L’esame obiettivo mostrava la presenza di piccoli segni di usura in struttura dentaria sostanzialmente sana. Eseguivamo scansione intraorale con scanner Dentsply Sirona Primescan. La scansione era importata in software per l’analisi estetica Smile Creator 3.0 Galway. Dall'analisi emergeva una incongruenza di proporzione tra la lunghezza e la larghezza degli elementi frontali con un minus di circa 1.5 mm. Si realizzava un progetto software secondo le indicazioni dell’analisi estetica con software Dentsply Sirona Cerec 4.6.
Dal progetto software veniva realizzato un prototipo che, messo in bocca, forniva utili informazioni sulla tecnica di preparazione mininvasiva. Venivano eseguite le preparazioni mininvasive sul gruppo frontale con tecnica di preparazione conservativa. Successivamente si eseguiva scansione intraorale delle preparazioni, associata per sottrazione al Digital Wax- Up. I restauri venivano realizzati con metodo DFAB (DWS Systems) utilizzando un composito ibrido caricato di vetroceramica IrixMax® DWS. I restauri ottenuti venivano adattati secondo la tecnica della Polishing Technique per la conservazione della qualità di superficie. I restauri erano cementati con la tecnica della cementazione adesiva Calibra® Veneer, impiegando cemento resinoso estetico foto-polimerizzante. Nella sequenza fotografica (Fig. 1- 11), la documentazione del caso clinico completo.

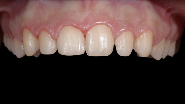
Fig. 1. Fotografia iniziale della paziente.

Fig. 2. Smile design.

Fig. 3. Moke-up.


Fig. 4,5. Preparazioni minimamente invasive.

Fig. 6. Pianificazione dei restauri in CAD.

Fig. 7. La stampante DFAB di DWS Systems.

Fig. 8. La stampante DFAB implementa il sistema Photoshade.

Fig. 9. I restauri appena stampati.

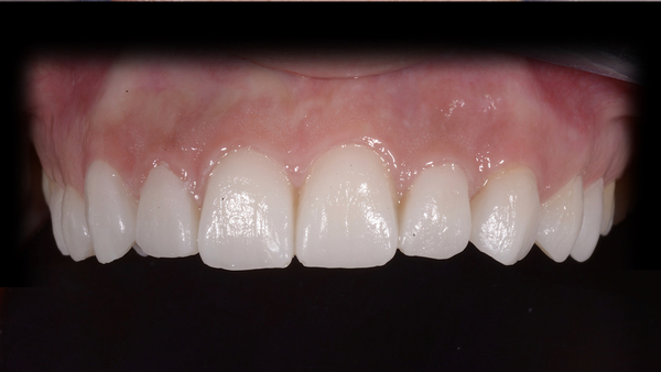
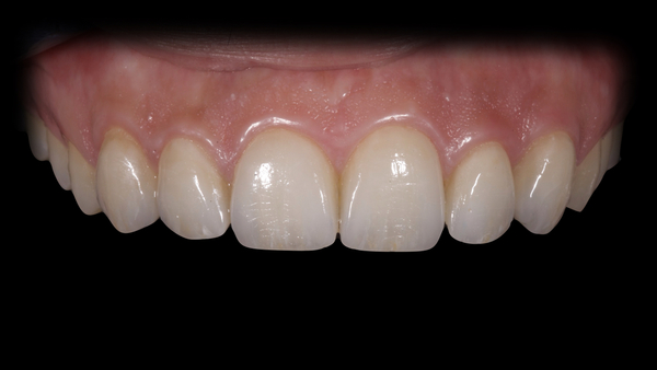
Fig. 10. I restauri appena cementati.

Fig. 10. I restauri appena cementati.
Pubblicato su Infodent Dicembre 2021 - Rubrica Dental Tech
